6 Patterns > Fibrosis Pattern > Additional Features > w/ Variable Involvement > Usual Interstitial Pneumonia
Usual Interstitial Pneumonia
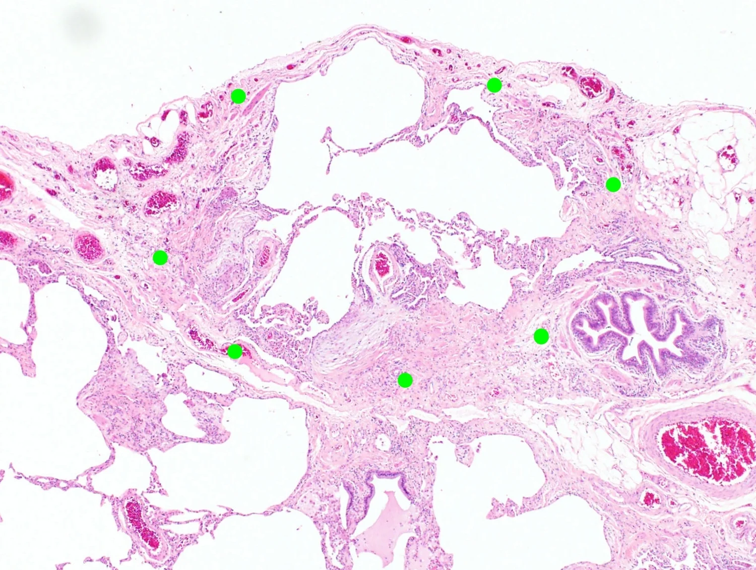
Usual Interstitial Pneumonia (UIP) is the pattern of fibrosis classically described as having geographic and temporal variability. Geographic variability means there are some areas of advanced scarring while other areas are completely normal. Temporal variability refers to the presence of both old fibrosis (advanced scar) and new fibrosis (fibroblast foci).
SEE BELOW FOR SAMPLE SIGNOUT
If you are considering a diagnosis of UIP, the biopsy should show the following features:
Advanced pulmonary fibrosis with architectural distortion of the lung
Areas of normal lung
Fibroblast foci
Sharp demarcations between the advanced fibrosis and normal lung
Fibrosis should be subpleural and paraseptal in its distribuition, creating "donuts" of fibrosis and "windows" of spared lung.
Advanced pulmonary fibrosis with architectural distortion of the lung
Fibroblast foci
Subpleural and paraseptal with "donuts" of fibrosis and "windows" of spared lung
Areas of normal lung/alveolar walls
Sharp demarcations between the advanced fibrosis and normal lung
Biopsies with the following features should NOT be called UIP:
Cellular interstitial inflammation (consider CTD)
Pleuritis (consider CTD)
Lymphoid follicles (consider CTD)
Numerous giant cells, especially if in the interstitium (consider chronic HP)
Granulomas (consider chronic HP or Sarcoid)
Abundant dust and inhalational debris (consider pneumoconiosis
Cellular interstitial inflammation (consider CTD)
Lymphoid follicles (consider CTD)
Granulomas (consider chronic HP or Sarcoid)
Clinical Presentation
UIP of IPF is a disease of older patients (typically greater than 60)
UIP is much more common in men than women (3 to 1)
Patients present with slowly worsening SOB and caugh
Patients often have a smoking history
There should be no history of autoimmune disease, exposure to organic antigens or occupational exposure
Radiology
Peripheral and subpleural predominant reticulation
Lower lobes more involved than upper lobes
Honeycomb cyst formation
GGO should be absent
No air trapping should be present
Sample Signout
If you are comfortable that the biopsy has all the features of UIP and lacks the features arguing for an alternative explanation for the pulmonary fibrosis, consider the following approach to signing the case out:
Usual interstitial pneumonia pattern of pulmonary fibrosis (see comment)
Comment: UIP pattern pulmonary fibrosis is seen most often in the setting of the clinical syndrome idiopathic pulmonary fibrosis (IPF). However, even the perfect histologic UIP pattern may also be seen in advanced pulmonary fibrosis related to CTD, chronic HP, and pneumoconiosis. Correlation with the clinical history and radiographic imaging studies should help confirm the diagnosis.
If there are some features missing, or some subtle features present that shouldn't be, consider the following approach:
Probable (or possible) usual interstitial pneumonia pattern of pulmonary fibrosis (see comment)
Comment: Although there are some features of the UIP pattern in this case, ______ features are missing and there is the presence of ______ features that make a definitive diagnosis of UIP difficult. Correlation with the clinical history and radiographic imaging studies may help clarify the diagnosis.
Reference:
Practical Pulmonary Pathology: A diagnostic Approach, 3rd Ed. Page 229.
