6 Patterns > Fibrosis Pattern > Additional Features > w/ Variable Involvement OR w/ Granulomas > Chronic Hypersensitivity Pneumonitis
Chronic Hypersensitivity Pneumonitis
Chronic Hypersensitivity Pneumonitis (CrHP) is a diffuse fibrosing lung disease that may show a variety of patterns of fibrosis including classic UIP-pattern, fibrotic NSIP, and airway centered fibrosis. A hallmark of CrHP is the presence of poorly formed granulomas in the intersitium/fibrosis. In some advanced cases, granulomas may to rare or absent making a definitive diagnosis difficult.
SEE BELOW FOR SAMPLE SIGNOUT
Significant fibrosis accentuated around airways.
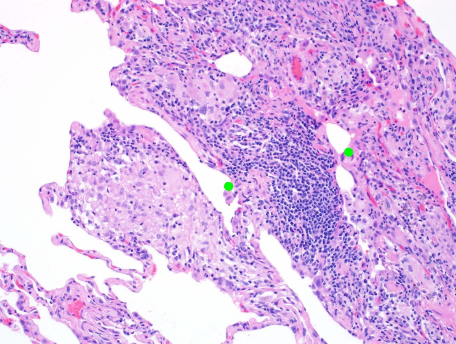
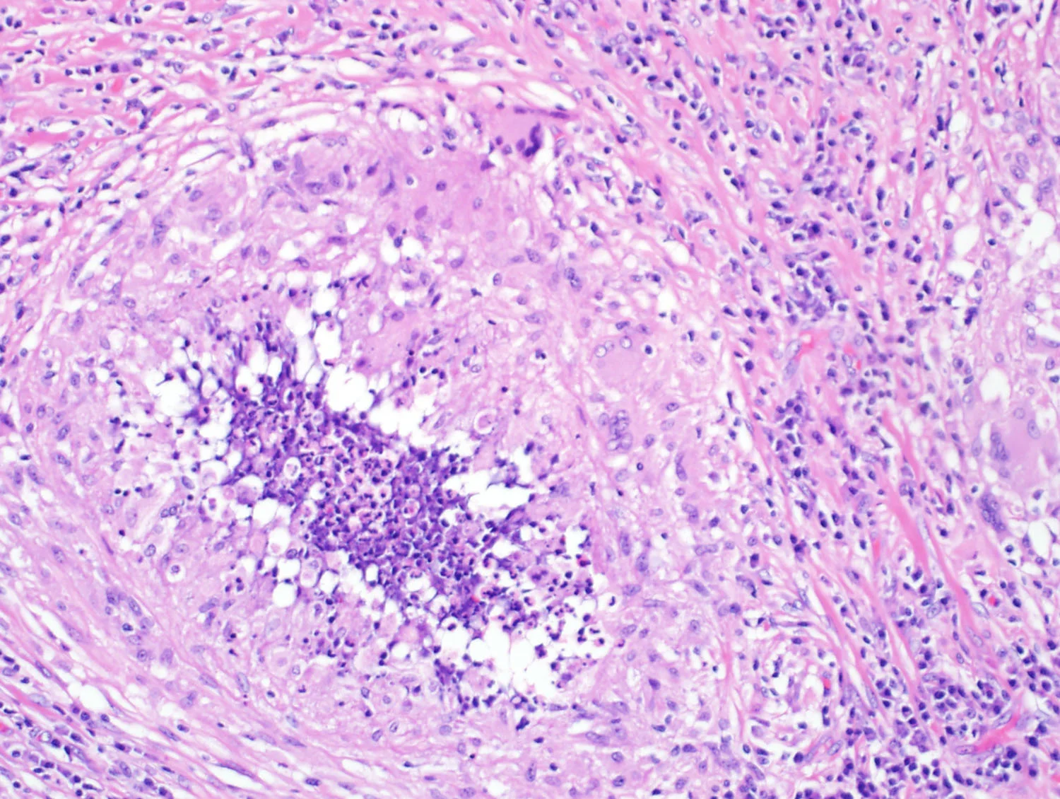
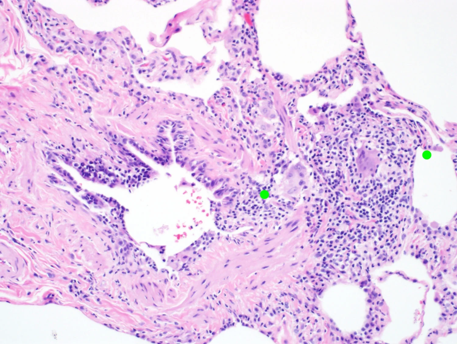
Poorly formed granuloma with a giant cell. Note the location of the granuloma. Near the bronchovascular bundle and in the interstitium (as opposed to the airspace).
If you are considering a diagnosis of CrHP, the biopsy should show the following features:
Pulmonary fibrosis with UIP, NSIP, or airway centered fibrosis
Poorly formed granulomas or giants cells in an interstitial location (it is possible to make a diagnosis of CrHP without giant cells, however it is very difficult)
Variable amounts of peribronchiolar metaplasia
Variable lymphoid follicles, but no secondary follicles
Variable cellular interstitial infiltrates (think NSIP-like areas)
Features favoring CrHP over UIP of IPF:
Poorly formed granulomas or giants cells in an interstitial location
Peribronchiolar metaplasia
Bridging fibrosis (airway to airway)
Lymphoid follicles
Cellular interstitial infiltrates
Organizing pneumonia
Features favoring CrHP over CTD-associated fibrosing ILD:
Lack of secondary follicles
Lack of pleuritis
Rare poorly formed interstitial granulomas
Airway centered fibrosis
Peribronchiolar metaplasia
CrHP with a UIP-pattern fibrosis
CrHP with airway centered fibrosis
CrHP with NSIP pattern fibrosis
Peribronchiolar metaplasia
Lymphoid follicles
Poorly formed granuloma
Giants cells in an interstitium
Interstitial granuloma
Cellular interstitial infiltrates
Biopsies with the following features may not fit best with CrHP:
Pleuritis (consider CTD)
UIP pattern with abundant fibroblast foci activity (consider UIP of IPF)
Abundant granulomas (consider aspiration or Sarcoid)
Necrotizing granulomas (consider infection)
Abundant dust and inhalational debris (consider pneumoconiosis)
UIP pattern with abundant fibroblast foci activity (consider UIP of IPF)
Abundant granulomas (consider aspiration or Sarcoid)
Pleuritis (consider CTD)
Necrotizing granulomas (consider infection)
Abundant dust and inhalational debris (consider pneumoconiosis)
Clinical Presentation
CrHP is a disease of younger patients (typically less than 60)
CrHP is more common in women than men (2 to 1)
Patients present with slowly worsening SOB and caugh
Patients often have no history of smoking (it may be protective)
Patients may have an organic antigen exposure history
Radiology
Fibrosis, reticulation, architectural distortion, and traction bronchiectasis
Upper lobes more involved than lower lobes
Honeycomb cyst formation may be seen in up to 70% of cases
GGO present in over 50% of cases
Air trapping is a common finding
Sample Signout
If you are comfortable that the biopsy has all the features of CrHP, consider the following approach to signing the case out:
Chronic hypersensitivity penumonitis (see comment)
Comment: The histologic features are most in keeping with chronic hypersensitivity pneumonitis. This interpretation is support by the presence of marked fibrosis with areas of airway centricity, bridging fibrosis, extensive peribronchiolar metaplasia, and scattered poorly formed granulomas. A detailed investigation of the patients environment for exposure to organic antigen is suggested, including down pillows and comforters. The findings are unlikely to represent UIP of IPF.
If there are some features missing, or some subtle features present that shouldn't be, consider the following approach:
Fibrosing interstitial pneumonia with fibroblast foci and rare giant cells and granulomas (see comment)
Comment: Although there are some features of the UIP pattern in this case, the presence of giant cells and rare granulomas,especially in the interstitum, raises the possiblity of CrHP as an etiology of this patients advanced fibrosing lung disease. A detailed investigation of the patients environment for exposure to organic antigen is suggested, including down pillows and comforters. ______ features are missing and there is the presence of ______ features that make a definitive diagnosis of UIP difficult. Correlation with the clinical history and radiographic imaging studies may help clarify the diagnosis.
