6 Patterns > Fibrosis Pattern
Fibrosis Pattern
You have selected the fibrosis pattern!
Patients with fibrosis pattern biopsies typically present chronically with cough and SOB over months to years. The imaging studies show reticulation (which means scarring in the radiology world) that may range from fine to course. Your biopsy should look pink from low-power due to the deposition of collagen. If you still think you have a fibrosis pattern biopsy, click the link below.
If you're still unsure if you're dealing with a fibrosis pattern, explore other histologic features below.
Patchy Fibrosis
Areas of fibrosis and architectural distortion.
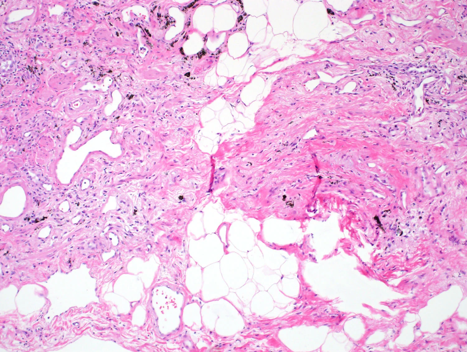
Fatty Metaplasia
Adipoocytes embedded in collagen.
Fibroblast Foci
Proliferation of immature fibroblastic tissue, arising from the interstitium, indicating active fibrosing injury.
Mature Collagen
Mature type-IV collagen, scar.
Diffuse FIbrosis
Diffuse fibrosing process.
Smooth Muscle Metaplasia
Smooth muscle embedded in collagen.
Honeycomb Fibrosis
Advanced fibrosis with architectural distortion, cystically dilated spaces, lined by respiratory epithelium, and containing mucin debris.
If your biopsy has the above features, you are in the appropriate category of fibrosis. But your job is not complete by recognizing fibrosis.
Sample Signout
If no additional specific histologic features are identified, consider the following approach to signing the case out:
Fibrosing Interstitial pneumonia (see comment).
Comment: The biopsy shows advanced fibrosis with architectural distortion. No additional specific histologic features to indicate an etiology are identified. There is a broad differential diagnosis including UIP, advanced NSIP, chronic HP, and CTD-associated ILD among others. The diagnosis of ILD requires a multidisciplinary approach. Correlation with imaging studies and clinical history is suggested.
