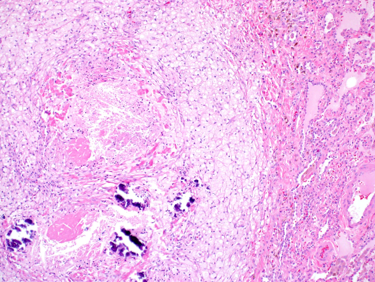
6 Patterns > Fibrosis Pattern > Additional Features > w/ Granulomas
Fibrosis w/ Granulomas
Click the image your case is most similar to:
Certain Chronic Infections
Chronic Aspiration
Sample Signout
If no additional specific histologic features are identified, consider the following approach to signing the case out:
Fibrosing Interstitial pneumonia with granulomas (see comment).
Comment: The biopsy shows advanced fibrosis with architectural distortion and scattered (necrotizing or nonnecrotizing) granulomas. The differential diagnosis includes chronic hypersensitivity pneumonitis, sarcoidosis/berylliosis, chronic infection, and chronic aspiration. Because of the presence of granulomas in this case, usual interstitial pneumonia of idiopathic pulmonary fibrosis is not favored. The diagnosis of ILD requires a multidisciplinary approach. Correlation with imaging studies and clinical history is suggested.
