6 Patterns > Acute Lung Injury Pattern
Acute Lung Injury
You have selected the acute lung injury (ALI) pattern!
ALL CASES OF ACUTE LUNG INJURY REQUIRE SPECIAL STAINS FOR INFECTIOUS ORGANISMS (AFB AND GMS AT A MINIMUM). IF THE PATIENT IS IMMUNOCOMPROMISED, ADDITIONAL STAINS (VIRAL IHC) ARE NECESSARY.
Patients with the ALI pattern present acutely over the course of hours to days. These are often patients that were perfectly healthy last week and are now in the ICU on a ventilator. The imaging studies commonly show a diffuse pattern of ground glass opacification (typically suggesting edema and airspace filling disease on the biopsy). Your biopsy should look pink from low-power due to the edema, fibrin, hyaline membranes, and organizing pneumonia. If you still think you have an acute lung injury pattern biopsy, click the button below.
If you are uncertain if the acute lung injury pattern is the best match for your case, checkout the various key histologic feeatures of acute lung injury below.
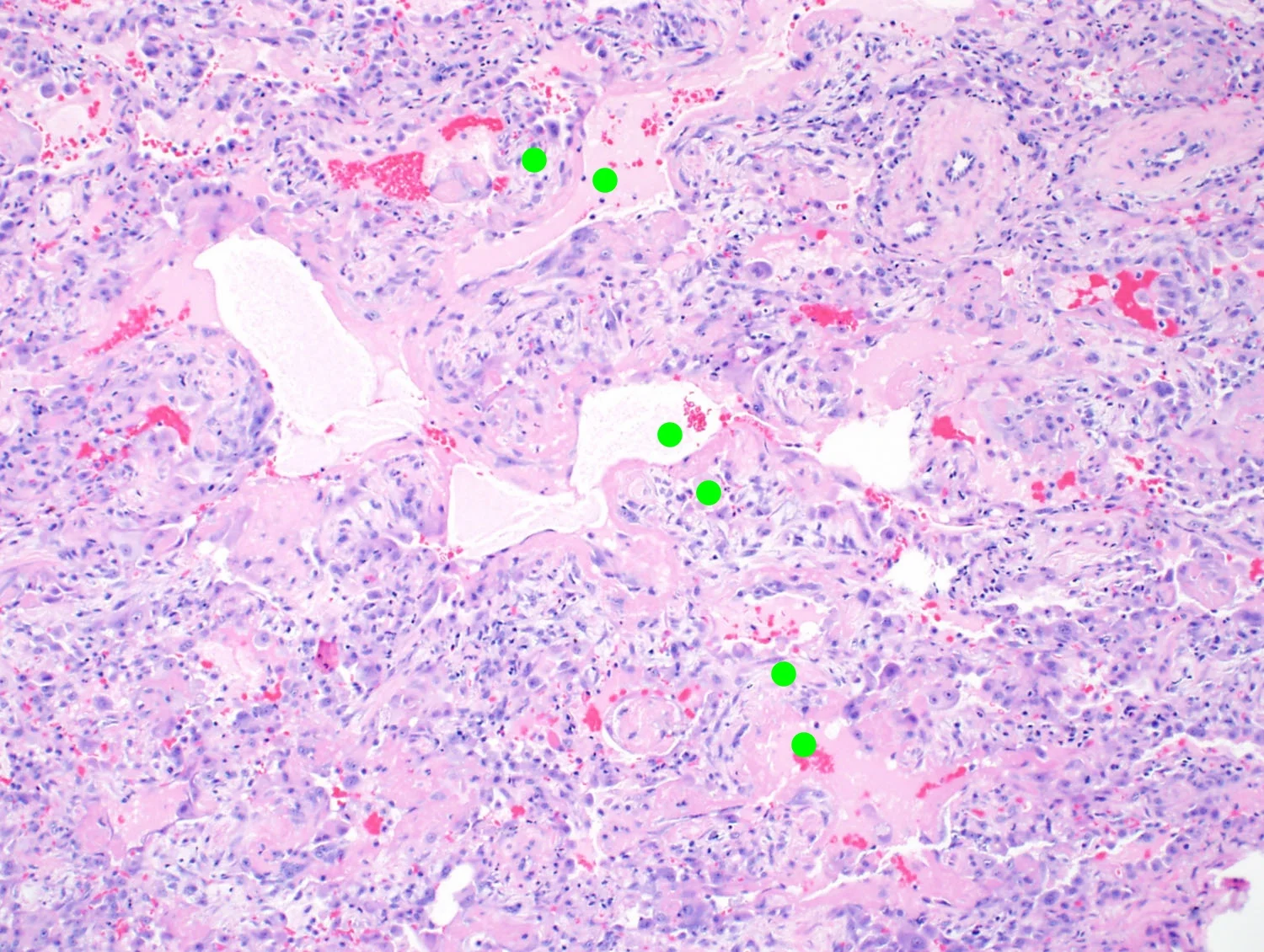
Edema
Faint eosinophilic material in the airspace and/or expansion of the alveolar walls.
Organizing Pneumonia
Polyps of immature fibroblastic tissue proliferating in the airspaces. What's the difference between OP and fibroblast foci?
Hyaline Membranes
Linear membranes of eosinophilic material adjacent to the alveolar walls.
Fibrin
Globules of densely eosinophilic material in the airspaces.
Reactive Type-II Pneumocytes
Enlarged pleomorphic pneumocytes with prominent nucleoli and a hob nailed appearance. Penumocytes may be so atypical, a neoplastic process enters the differential diagnosis. This is why extreme caution should be used when diagnosing malignancy in the setting of acute lung injury!
If your biopsy has the above features, you are in the appropriate category of acute lung injury. But your job is not complete. Investigate the subpatterns of acute lung injury below.
Sample Signout
If no additional specific histologic features are identified, consider the following approach to signing the case out:
Acute and organizing lung injury (see comment).
Comment: The biopsy shows acute and organizing lung injury without any additional specific histologic features to suggest a definitive etiology. The differential diagnosis includes infection, adverse drug reaction, connective tissue disease, and idiopathic acute lung injury, among a number of other additional possibilities.
